CASOS CLÍNICOS - ORTODONTIA

realizados em Facealis – Clínica Médico-Dentária

 

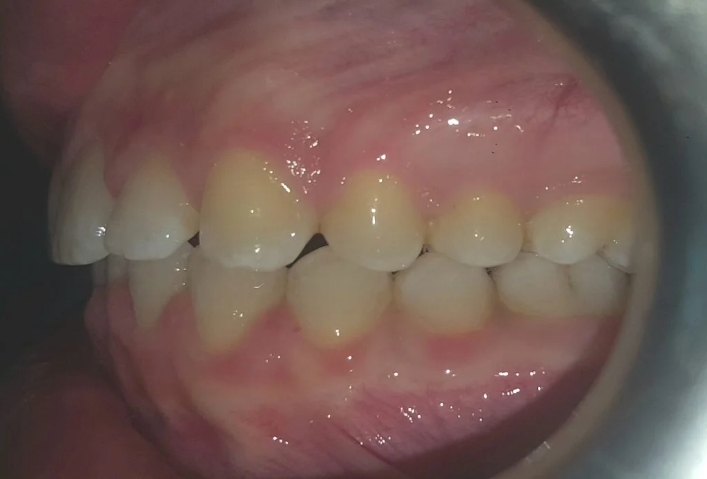
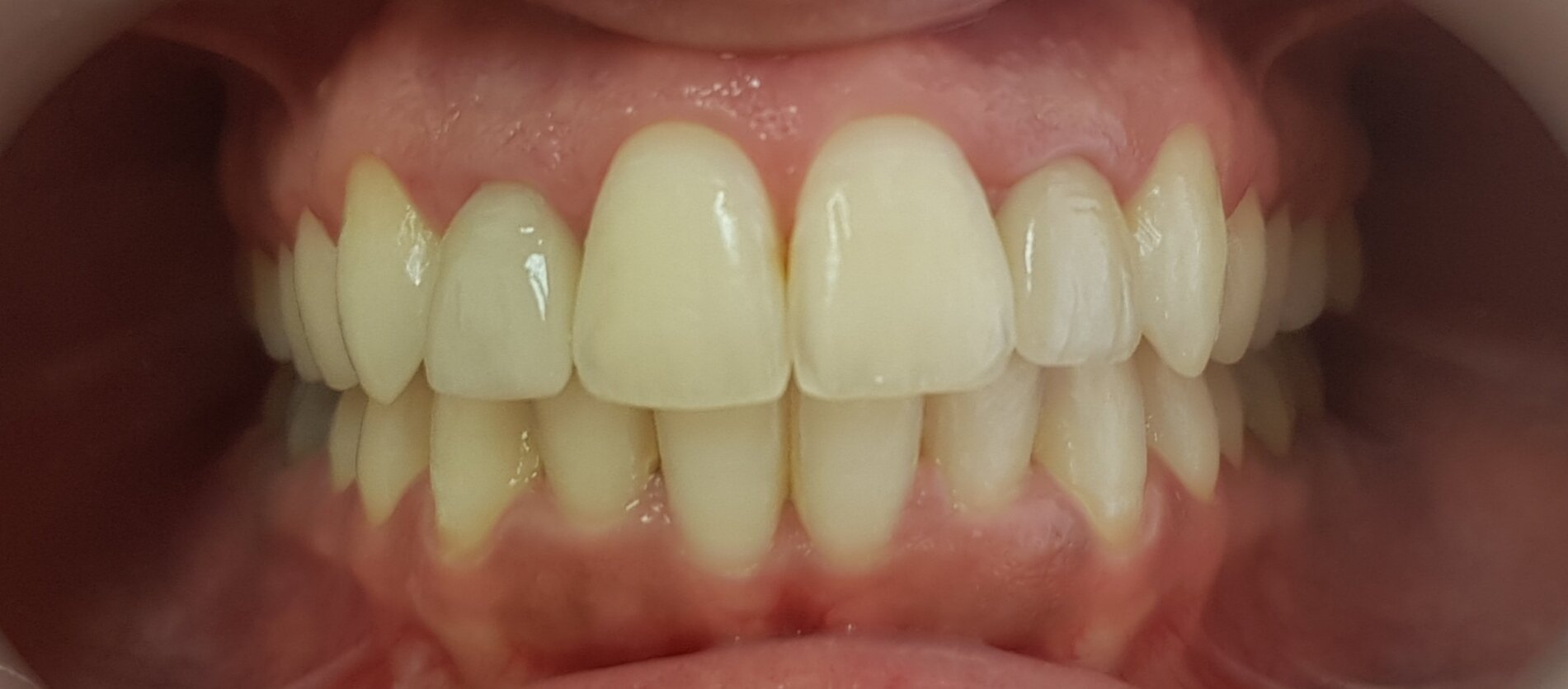
Caso 1

ANTES

DEPOIS


Caso 2

ANTES

DEPOIS


Caso 3

ANTES

DEPOIS


CASO 4

ANTES

DEPOIS


Caso 5

ANTES

DEPOIS


Caso 6

ANTES

DEPOIS


Caso 7

ANTES

DEPOIS


Caso 8

ANTES

DEPOIS


Caso 9

ANTES

DEPOIS


Caso 10

ANTES

DEPOIS


Caso 11

ANTES

DEPOIS


Caso 12

ANTES

DEPOIS


Caso 13

ANTES

DEPOIS