Casos Clínicos de Ortodontia realizados na Facealis – Clínica Médico-Dentária
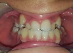
Caso 1
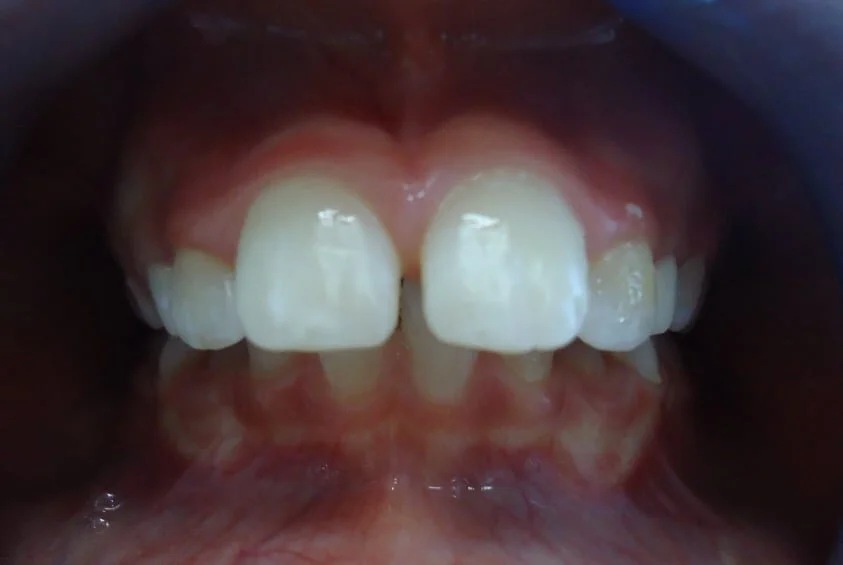
Caso 3
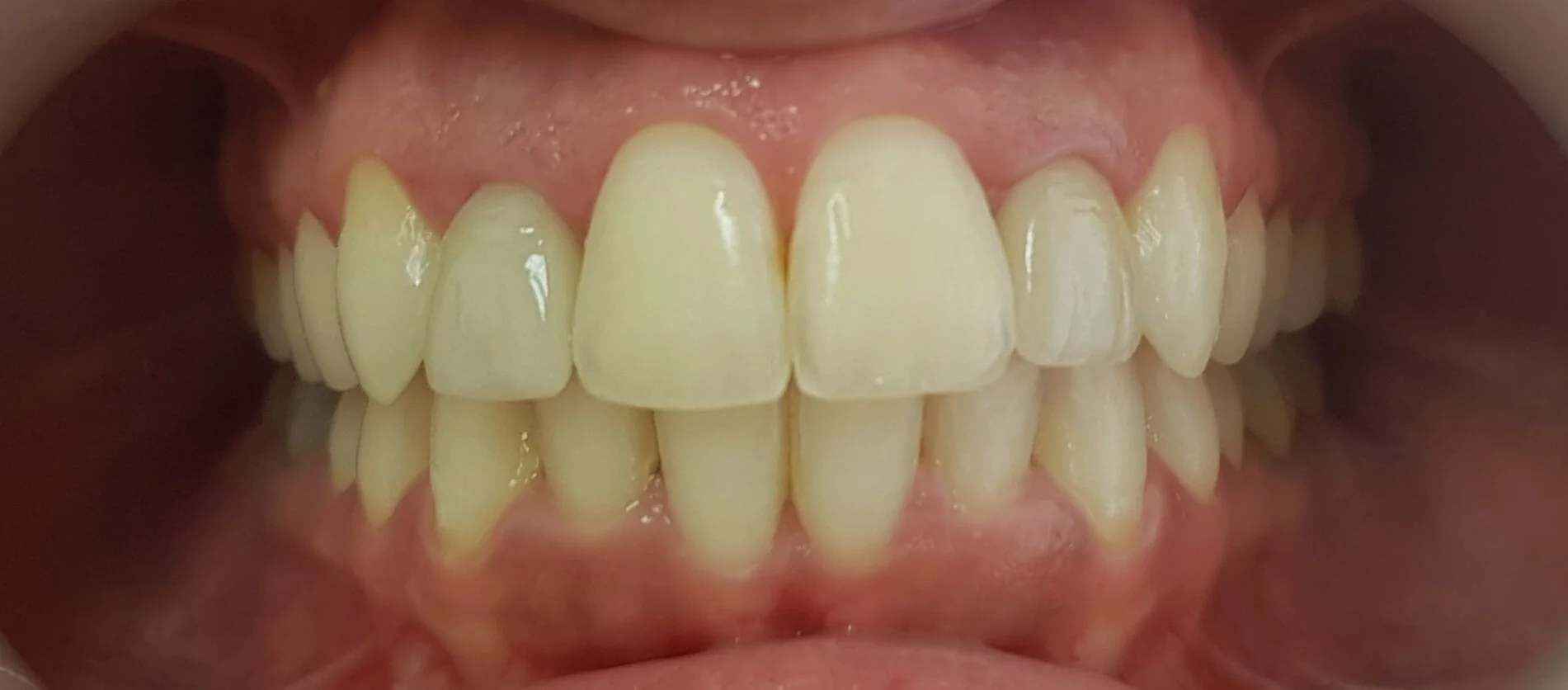
Caso 5
Caso 7
Caso 9
Caso 11
Caso 13
Caso 2
Caso 4
Caso 6
Caso 8
Caso 10
Caso 12
Ver outros Casos Clínicos:
> Implantes Dentários
> Coroas
> Facetas
> Branqueamento Dentário